Çürüme İhtimali Olan Bölgelere Dolgu Yaptırarak Çürükten Korunabilir miyiz?
Hayır. Sağlam bir organı çürüyecek diye kopartıp almak mümkün değildir. Diş korumada en etkin önlemin dişleri fırçalamakla alınacağını tekrar hatırlatalım.
Dolgu Nasıl Yapılır?
Günümüzde kullanılan dolgu maddelerinin çoğu sadece dişe tutunur, yapışmaz. Bu nedenle diş hekimleri dolgu yaparken bazı tutucu önlemler alırlar. Bu önlemler özel tutucu oyukların hazırlanmasıyla mümkün olur. Dolgu yaparken ana kural olarak iyi bir kavite (oyuk) hazırlanır; ve dişe yapılacak dolguyla çürümeden önceki doğal biçimi tekrar verilmeye çalışılır.
Hangi Dolgu Maddeleri Seçilir?
Dolgu maddesini seçerken diş hekimleri maddenin arka dişlerde çiğneme basıncına dayanabilmesini; ön dişlerde mümkün olduğunca fark edilmemesini; dişe ve diş özüne zarar vermemesini göz önüne alırlar. Şimdi sizlere birkaç tip dolgu maddesi hakkında bilgi vermek istiyoruz:
1. Amalgam Dolgular (Metal Dolgular)
Çok dayanıklı ve ekonomik bir dolgu maddesidir; fakat görünümü estetik değildir. İçinde % 70 gümüş, % 23 kalay, az miktarda bakır ve çinkodan oluşan tozun cıva ile karıştırılmasıyla hazırlanır. Karışım diş hekimi tarafından hazırlanan oyuğa yığılır ve dolgu birkaç saatte sertleşir. Özellikle azı dişleri için günümüzde kullanılan en iyi dolgu maddesidir.
2. Porselen Dolgu, Simanlar, Kompozitler (diş renginde dolgu)
Estetik dolgu maddeleridir (bonding); fakat amalgam kadar dirençli değillerdir. En çok ön dişlerde kullanılırlar.
3. İnlaylar
İnlaylar döküm, dolgulardır. Dolgu için şekillendirilmiş oyuğun (kavite) ölçüsü alındıktan sonra, laboratuvarda altın veya porselenden hazırlanır ve dişe yapıştırılır. Özel teknik ve çok hassas çalışma gerektirirler.
Amalgam nedir?
Amalgam dolgular gümüş dolgular olarak da tanımlanır. Amalgam; gümüş, kalay ve bakır alaşımının, cıva ile karıştırılması ile elde edilir. Karışımın %45-50'sini oluşturan civa, metalleri birbirine bağlayarak dayanıklı bir dolgu malzemesi yaratmış olur. 150 yıldan beri geliştirilerek kullanılmakta olan amalgam dolgular, çok sayıda dişin korunarak ağızda kalmasına hizmet etmiştir.
Amalgamdaki civa zararlı mıdır?
Amalgam dolgudaki civa zehirli değildir. Civa diğer metallerle birleştiğinde kimyasal yapısı değişir ve zararsız hale geçer. Çiğneme ve öğütme sonucunda ağızda açığa çıkan civa miktarı su, hava ve yiyeceklerde alınan miktardan çok daha küçüktür. Bütün bilimsel araştırmalarla civanın zararsız olduğu sonucuna varılmıştır. Amalgamlar söküldüğünde civanın oluşturduğu düşünülen bazı hastalıkların iyileştiği iddia edildiği halde bilimsel olarak ispatlanamamıştır.
Dişhekimleri amalgamı niçin tercih ederler?
Amalgam hala en zararsız, en uzun ömürlü ve en ucuz dolgu maddesidir. Yılda, bir milyardan fazla amalgam dolgu yapıldığı hesaplanmıştır. Diğer dolgu maddelerine oranla çok daha kısa zamanda ve kolay uygulanabilirler. Porselen, altın ve beyaz dolgular gibi dolgu malzemeleri hem daha pahalıdırlar hem de daha çok zaman ve dikkat isterler. Ayrıca altının dışındakiler amalgam kadar uzun ömürlü değildir. Amalgam ancak civaya alerjisi kesin olarak tespit edilenlerde kullanılmamalıdır ki, bu da yüzde birden çok daha düşük bir olasılıktır. Gerekmediğinde amalgam dolgular sökülmemelidir. Çünkü hem gereksiz masraf getirmekte hem de dişe zarar verme olasılığını arttırmaktadır.
Amalgam restorasyon sonrası hastaya uyarılar
Uygulamanın yapıldığı tarafı en az bir saat kullanmaması ve takip eden 24 saat içinde de dikkatli olunarak sert şeyleri o bölgede çiğnememesi hastalardan istenmelidir.Hastaya 24 saat geçtikten sonra polisaj işlemi.,için ikinci bir randevu verilmelidir.Bu uygulama, hem amalgamın metalik özelliklerini iyileştirme hem de kullanım sonrası restorasyonun anatomik ve fonksiyonel olarak tekrar gözden geçirilme olanağını sağlayacaktır.

Amalgam dolgulardan sonra kısa süreli bir sıcak-soğuk duyarlılığı olabilmekte ve bu zamanla kaybolmaktadır.Ancak ender olsa da bazı kişilerde ağızda çeşitli metaller bulunduğunda ya da çatal gibi başka bir metal girdiğinde elektriklenmeden doğan hassasiyetler olabilmektedir.Geçmeyen duyarlılıklarda duyarlılığın yalnızca bu sebepten olduğuna emin olduktan sonra restorasyonu metal olmayan bir restoratif madde ile değiştirmek çözüm olabilir.
Kompozit dolgular nasıl yapılır?
Kompozit dolgular, hazırlanmış kavitelere tabaka tabaka yerleştirilir ve her tabaka özel bir ışık ile sertleştirilir. Bu işlem bitince kompozit dolgular dişe göre şekillendirilir ve düzeltilir. Bütün bu işlemler amalgam dolgu işleminden daha uzun sürer. Ancak amalgamın en az iki katı kadar daha pahalıdır. Kompozit dolguların ağızda kalma süresi de 7-10 yıldır ki bu süre amalgamın ömrüne yakındır. Ancak çok büyük dolgularda durum amalgamın lehinedir.
![]() |
![]() |
| Amalgam (Gümüş) Dolgu | Estetik (Beyaz) Dolgu |
Kompozit reçinelerin avantaj ve dezavantajları:
Bu dolguların en büyük avantajları estetik olmalarıdır. Ayrıca bu dolgular dişlere iyice bağlandığı için diş dokularını destekler, kırılmaları ve sıcaklık geçmesini engeller. Kompozitler, yalnızca çürükleri restore etmek için değil, dişlerin rengini ve biçimini değiştirerek kozmetik etkileri için de kullanılabilmektedirler. En önemli dezavantajı işlem sonrası duyarlılıkların olmasıdır. Dolguların renkleri, kahve, çay gibi boyayıcı yiyeceklerle de hafifçe değişebilmektedir.
Bir kompozit dolgu uygulaması örneği |
|
|
|
Kompozit restorasyonlar sonrası hastalara uyarılar. Kompozitlerde de artık aynı seansta polisaj işlemi yapılabilmektedir.Ancak çok büyük restorasyonlar ya da çok diş için yapılan seri restorasyonlarda hastayı bir defa daha kontrole çağırıp varsa gerekli düzeltmeleri yapmak hem estetik hem fonksiyon açısından çok daha iyi olacaktır. |
|
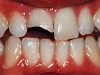
kompozit dolgu öncesi |
kompozit dolgu sonrası |
Bu materyallerle ön dişlerde çok büyük kayıplar restore edilebilmekte bu nedenle hastaların ısırmada dikkatli olmalarının bu restorasyonların ömrünü uzatacağının da anlatılması gerekmektedir.Özellikle (fasial) yüzde yapılan uygulamalardan sonra ne kadar iyi polisaj yapılmış olsa da boyayabilen yiyecek ve içeceklerin dolguların renklerini değiştirebileceği yine hatırlatılmalıdır.Aşınma nedeni ile restore edilmiş dişlerde daha çok dikkat edilmesi gereken şey de hastaya çok sert olmayan diş fırçaları önermek ve fırçalama yöntemlerinde düzeltmeler yapabilmelerini sağlamaktır.Bu öneriler geniş (fasial) yüz restorasyonları için de geçerlidir.ayı bir defa daha kontrole çağırıp varsa gerekli düzeltmeleri yapmak hem estetik hem fonksiyon açısından çok daha iyi olacaktır.








